Skip Menu
Continue
Existing Patients:
(818) 981-4508
New Patients:
(818) 926-4359
4350 Woodman Avenue, Sherman Oaks, CA 91423
Home
About Us
Our Office
Office Tour
Smile Gallery
Dental Videos
Reviews
New Patients
Meet Dr. Isaacs
David Isaacs, DDS
Our Team
Services
Periodontics
Causes of Periodontal Disease
Types of Periodontal Disease
Treatment of Periodontal Disease
Gum Recession
Scaling and Root Planing
Oral Cancer Screening
Ridge Augmentation
Sinus Augmentation
Crown Lengthening
Soft Tissue Grafts
Bone Grafting
General Dentistry
ClearCorrect
Crowns & Caps
Dental Bridges
Dental Fillings
Dentures
Extractions
Implant Dentistry
Laser Dentistry
Night Guards
Oral Exams
Pediatric Dentistry
Periodontal Treatment
Preventive Program
Root Canals
Teeth Whitening
Veneers
Dental Health
Contact
Contact Us
Request Appointment
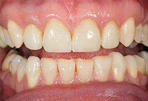
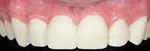
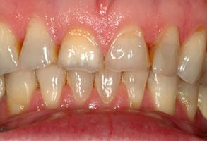
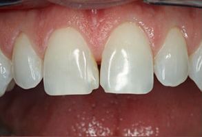
Smile Gallery
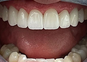
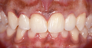
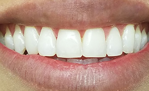
Before
After
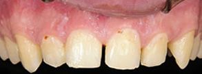
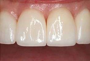
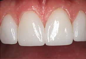
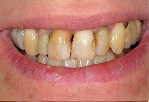
Before
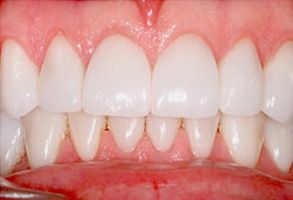
After
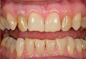
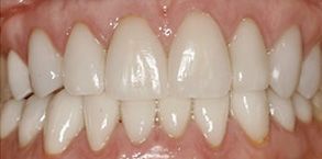
Before
After
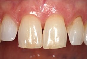
Before
After
Periodontal soft tissue graft procedure
Before
After
Before
After
Before
After
Before
After
Before
After
Before
After
Before
After
Before
After
Before
After
Before
After
Before
After
Before
After
4350 Woodman Avenue,
Sherman Oaks, CA 91423
Existing Patients:
(818) 981-4508
New Patients:
(818) 926-4359
Appointment
Contact Us